扫码打开虎嗅APP
本文来自微信公众号:食通社Foodthink,作者:徐溪婧,文中图片均由作者提供,编辑:小丹,题图来自:AI生成
养菌阁组阁
八年前我以自然发酵的酸奶为主题,做了一个把酸奶酵种风干在布料上的作品。我没有那么爱喝酸奶,当年做酸奶主要是看到了将自然发酵作为艺术表达的可能。因此,将酸奶发酵作为一种习惯和爱好,自然也没有坚持下来。
两年前和伴侣决定同居,终于能按照自己期待中的样子来安排房间格局、留给自己做发酵食物的空间。同时因为切换成自由职业,没有了朝九晚五的作息,生活突然又浮出水面,自由支配的时间四面八方向我涌来,于是我又重新一头扎进了微生物的世界,培育起自己的发酵食物来。
这次发酵,是被胃口和口水驱动,是纯粹为了满足食欲的行为:被朋友托付酵母,我开始做面包;夏天为了消暑,水开菲尔重新住进我家厨房;从老家回来后,我兴致冲冲地做起了泡菜……就这样,厨房里穿梭着各种瓶瓶罐罐的身影,来来去去,有的长期驻扎,有的停留一个季节便匆匆离去。

◉我把家里的一个死角改成了放常温发酵食物的柜子,戏称“养菌阁(Mikrobenkabinett)”。Kabinett在德语里是既是陈列室,又有内阁的意思,十分符合我脑中微生物们齐聚一室开大会的模样。
养菌阁的常驻成员们
我尝试过很多发酵食物,酸奶、奶酪、酸菜、酸汤、康普茶、水开菲尔、果醋米醋、甜酒、面包、味噌、米糠酱菜、天贝、水果腐乳、鱼露……自己都被列举的过程吓了一大跳,原来不知不觉间已经做过了这么多尝试。
一旦认识到微生物的存在,理解不同发酵食物在不同阶段中起主导作用的菌群——乳酸菌、醋酸菌、酵母、不同种的霉菌——将他们如宠物般对待,提供合适的生存空间,就很难失败了。
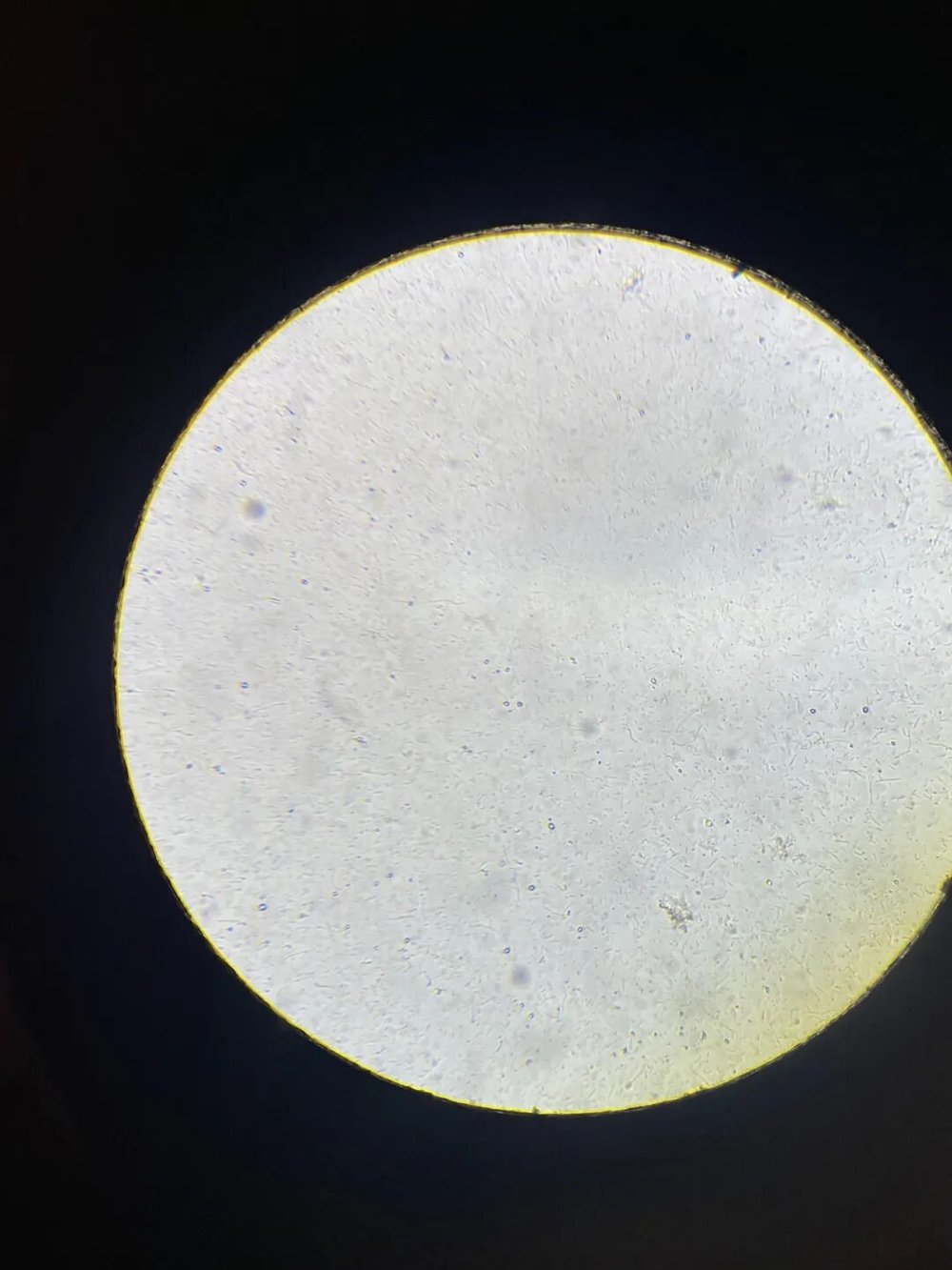
1. 乳酸菌

◉显微镜底下,我的泡菜母水。
泡菜、腌菜、酸奶的制作都是利用乳酸菌发酵,它将蔬菜中的糖分和牛奶中的乳糖转化为乳酸。不过泡菜中的乳酸菌菌株在这种同型发酵的基础上,还可以进行产生其他混合产物(例如乙酸、甲酸、乙醇或二氧化碳)的异型发酵。
泡菜中的乳酸菌是厌氧菌,耐盐耐酸。在密封、隔绝空气、且盐量足够的坛子里,乳酸菌很快就会战胜其他杂菌,成为主力菌,是我发酵柜中最令人省心的存在。
泡菜坛子在我老家被称为酸坛子。
今年回老家,从娭毑(湖南方言,对老年妇女的尊称,一般指祖母、外祖母)的朋友处获得了一瓶她养了20多年的老坛子水。回德国后立马把它倒进了我的泡菜坛子,给我的坛子续上了她二十年的寿命。在长沙吃惯了大蒜、藠头、长豇豆、白萝卜的乳酸菌们,在柏林被我养出了欧洲防风、茴香、苤蓝还有樱桃萝卜的胃口。饮食多样化的坛子越养越香,也越来越好打理。
而这一瓢坛子水也成了拴寄我与娭毑对话的绑带,日常嘘寒问暖之间总是不免要交待一下坛子的状态,感觉自己被委托了一个重要的生命、一份情谊和一种味道。


◉上为坛子刚刚被养起来的样子。下为娭毑朋友家20多年历史的老坛子。

◉今年九月中,被朋友带领,在柏林的博物馆群做了一场食物表演活动。我们烧柴点火烤面包,邀请观众一起脚踩酸菜,串水果项链,给近万人提供免费食物。为了这十大桶酸菜,我用家里的老母水提前一个星期养了十升的泡菜水。浇到切碎的包菜里,被兴奋过头的小孩子们踩了一个下午,味道还竟然像模像样。

◉除了最传统的酸坛子(水泡菜),今年我又开始做起了糠腌酱菜。不过身在小麦产区,找不到米糠,便用麦糠来养糠床,用柠檬、胡椒来调味,腌起苹果和小番茄来倒是真好吃。
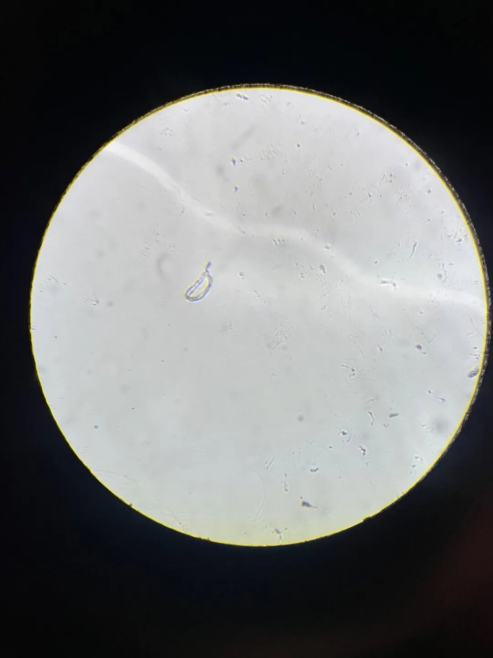
2. 酵母

◉显微镜底下,我的天然酵母。
酵母可以将糖分解成CO2和酒精,可以用来制酒,也用于烘焙食品中让面团胀气蓬松。
我喝不了酒,对酿酒也兴趣缺缺。但在过去几年,养护酸酵种、烘焙面包,倒是成了与我日日相伴的爱好。
做面包的酵母来自一个朋友。他家中长辈上世纪90年代初期开了一个有机商店,卖的是自己做的天然酵母面包。做面包的酸酵种过去三十年多间在他家不同代际之间辗转多次,终于在前两年来随着亲戚的拜访来到他手中。
朋友开始做面包的同时,也在柏林做面包的朋友手中分发这颗酵母。被托付了这100g酵液的我,也满心珍重地养护起来。

◉不知不觉间,手机里的面包照片也越积越多。
这两年我一边做面包,一边在朋友圈中不断分发酵母,当然朋友们也会继续扩散。以至于我在不同人家做客时,偶尔会遇到完全不认识的陌生人发出惊呼:原来你就是酵母的主人!!
感觉不知不觉间,创立了一个庞大组织。


◉一年前,参与朋友的爱好者业余剧场时,我把日日照料面团的状态融入了舞台的剧目。面团摔在墙上,变成一幅面具。我揉搓它,与它对话,它用不同的表情回应我对它的照料。


◉在柏林,我偶然间认识了一群“面包痴”。他们鄙视社交媒体上鼓吹的单一面包审美(强面筋、大气孔),每年组织以不同谷物为主题的分享会,邀请研究员、磨坊主、烘焙师来分享ta们的烘焙经验,交流普通小麦以外的风味可能,并追求谷物种植的多样化。
3. 醋酸菌

◉自制的苹果醋。
醋酸菌是好氧菌,它将酒精转化为醋酸。所以人们常说酒醋同源——先有酒才有醋。
醋奠定着酸味来源的基础,也反映着每个地方的种植产区和饮食偏好。中国南方大米产区米醋是主流,北方则有高粱、小麦麦麸为原料的粮食醋。在欧洲,水果醋占满了货架:从葡萄酒酿出葡萄酒醋,从苹果酒酿出苹果醋。
偶尔看到打折的当季新鲜蔬果时,乳酸发酵和酿醋是我最先想到长期保存味道的一个方式。

◉九月份的德国街头,随处可见不同品种、长满一树又一树的李子。今年在朋友的带领下,我也没忍住摘了一箩筐带回家,做成了李子醋。
4. 霉菌

◉酒酿中的根霉菌。
东亚发酵食物的特色之一,便是会用到各种霉菌制成的酱料。
各种霉菌有自己的俗名、商品名,穿梭在母语和外语之间,常常让我感到眼花缭乱。我习惯为自己总结一个分类表格,列出不同菌株的拉丁名,辅助我来认识不同霉菌家族和各自长处。

◉霉菌分类表格。
根霉属Rhizopus的不同菌株是天贝制作的主力菌,其中米根霉Rhizopus oryzae也被用于酿酒;毛霉Mucor下属的不同菌种则常用于腐乳制作。
Aspergillus oryzae常被称为日本曲霉,或者白曲霉,Aspergillus sojae则是酱油曲霉,也称米曲霉。所谓黑曲霉是Aspergillus niger,而红曲霉则是完全不同属的Monascus底下的不同种。
提到霉菌,不得不提到曲。曲指的是:以粮食为基底(如米、小麦、大麦、豌豆、燕麦等)接种或自然富集霉菌为主的微生物(如以上所提的曲霉、根霉、毛霉)可被用于新一轮发酵食物的生产(如酒类、酱油、醋、豆豉等)的发酵起种物(starter culture)。
比如,以米粉为基底接种根霉和酿酒酵母,便成了可以制作米酒和酒酿的小曲。以蚕豆为基底接种米曲霉,便成了可用来做豆瓣酱的霉豆子。以糯米为基底接种红曲霉和黑曲霉,便成了可以用来酿红曲酒和玫瑰醋的乌衣红曲。而大名鼎鼎的日本米麴(koji),则是接种了白曲霉的大米,被日本人和当代餐饮界开发出了无穷无尽的用途,酱油、盐麴、味噌,等等等等。
在居家发酵实验中,霉菌类的发酵是我唯一会借助发酵箱和商业菌种的发酵门类。传统上,人们通过为粮食基底铺盖稻草、树叶的方式,来接种空气、泥土中自然富集的微生物发酵。不过这种自然发酵的方式与各方水土特定季节的温度、湿度息息相关,很难在气候、菌群完全不一样的都市生活中复制。使用工业提纯的单一菌种,每一个步骤可以被具体量化,确实能降低霉菌发酵的学习门槛。这大概也是日本米麴会风靡世界的原因。

◉红曲霉(Monascus purpureus)在广东、福建、浙江的沿海地区被广泛用于酿酒、制醋。发酵过程中产生的色素代谢物为食物染上浓烈的红色。长期培育红曲霉的地区,也恰恰是许多早期华人移民的出发地。《Red Terroir》是我2025年的一组静物作品,取材自东南亚、日本和欧洲的发酵食品——这些地域正是历史上华裔移民路径交织之处,旨在引导观众重新思考霉菌的传播与人口迁移浪潮之间的关联。
5. 多种菌的组和发酵
当然,很多发酵食物来自于不同微生物的共同作用,比如康普茶、开菲尔是利用到SCOBY(Symbiotic Colony of Bacteria and Yeast,酵母菌与细菌的共生培养物)的发酵饮料。天然酵母中也有乳酸菌和部分霉菌的存在,天然制曲中会有酵母菌和乳酸菌的参与。

◉SCOBY的养成是康普茶和醋酿造过程的一部分:它是活性微生物在液体与空气交界处形成的一层“菌膜”。


◉在面膜器型中孵化的菌膜,据说有美容养颜之功效。
我养菌,菌亦养我
体感这几年在城市中产圈中,发酵食物也开始渐渐普及流行起来。
作为追逐潮流,也是观察潮流的一员,心里会有些感叹:在消费型社交媒体的引导下,刚开始钻研某一类食物的时候,我们似乎总是容易着迷于食物制作的技巧和工具。喝茶的人爱收集与展示茶具、咖啡爱好者给自己设计了一套又一套昂贵又精巧的不锈钢器具。至于发酵,就是在制作面包中追求膨胀的气孔结构、制作康普茶中追求绵密的气泡——毕竟这些都是在以图像为介质的传播中,最抓人眼球的部分。
不过,我还是暗暗期待,由于对风味多样化的追求,赏味有关的爱好都终让人渐渐去了解品种、基因、水土等等跟农业和作物有关的议题。如果发酵的潮流不仅仅停留在表面的风味审美,而是让城市生活的人多一点点对食材的品种和来源的了解,也是美事一桩。

◉WWW(We, Wheat, Weave)项目,通过收集我在生活与旅行中所遇到的各种小麦与谷物,在当地社区的支持下,运用传统编织技艺,将材料编织成一个“生长中的”雕塑。
对我来说,对发酵食物的探索,让我重新开始对四季变化有了感知,更加珍视地域的特质。
做发酵食物为我的生活周期安定了锚点:养酵母、育糠床以天为单位,续康普茶以周为单位,醋、味噌和其他酱料的熟成以月甚至以年为单位……我在这些周期规律之间找到适合自己的节奏,让微生物和我的生活步骤渐渐合轨。

◉达·芬奇“画蛋”的故事在中国基础教育中广为流传。这则西方艺术大师的虚构逸事,强调勤奋胜过天赋,艺术的诞生离不开日复一日的重复基础练习。这种单调、重复的劳动不仅体现在艺术的基础训练中,也深植于日常生活看不见的家务、烹饪、照护等被认为缺乏创造性的照料性劳动之中。《画圆练习》源自我日复一日的面包烘焙练习。在一次次遵循相同配方的操作中,每一个面包在烘焙纸上留下的痕迹“画”出了不同的“圆”,透露出重复行为中潜藏的形式演化与时间的痕迹。
在选取食材、为微生物提供生存环境的过程中也渐渐学习到,发酵应当顺时应季节,因地制宜:冬天里霉腐乳,正月酿酒,伏天做酱、晒白辣椒,夏末用米糠腌菜,春秋则有大量新鲜蔬果上市,为乳酸发酵和醋酸发酵提供了源源不断的灵感和食材。
今年夏末,我与在杭州的朋友两地同步养菌,她在30多度的气温里喂酸酵,酸酵蔫蔫不振,但是做起酒酿却信手拈来;我在23度的室内养酒曲,酒曲要么发馊、要么干到开裂,然而毛毛躁躁养着的酸酵却涨势喜人,为我贡献了不少美味面包。
发酵的季节属性,让我重新开始对四季变化和每季的物产有了感知,对变温更敏感;而同时不同地与朋友的对比发酵实验,也让我更加珍视不同地域的特质。同时,了解类似的发酵手法如何在不同的文化中发展出不同的路径和审美风味,也是在跨文化发酵实践中特有的乐趣。

徐溪婧(设计师、发酵爱好者、当代艺术从业者。出生于湖南长沙,现工作与生活于柏林。)
本文来自微信公众号:食通社Foodthink,作者:徐溪婧,文中图片均由作者提供,编辑:小丹