扫码打开虎嗅APP
本文来自微信公众号:菠萝因子(ID:checkpoint_1),作者:80后菠萝博士
很多人都知道,用靶向药之前通常需要做基因检测。最典型的就是非小细胞肺癌,患者通常都需要检测EGFR,ALK,ROS1,RET等基因,如果有对应的突变,就会使用对应的靶向药。
最近PD-1类免疫药物大热,很多人自然就有个问题:使用免疫疗法之前,也需要做基因检测么?大家常说的PD-L1检测又是什么东西?
今天咱们就聊聊这个,主要以肺癌为例。
靶向药物之所以推荐基因检测,是因为能预测药物是否起效,有EGFR突变患者用EGFR靶向药物效果不错,但没有这个突变的,用它效果就不理想。
让患者用最适合自己的药物,临床生物标记物(Biomarker)的价值,主要就在于此。
基因检测只是生物标记物的一种,验血时候的各种指标,肿瘤表达的各种蛋白等,也都可以成为生物标记物。
治疗的时候用什么生物标记物,是和每个药物本身特性紧密相关的。EGFR基因突变之所以能预测EGFR靶向药效果,是因为这个药针对的就是携带EGFR突变的细胞。所以,有突变,就有疗效;无突变,就疗效不佳。
但免疫疗法不同,PD-1类免疫药物针对的是免疫系统,所以起效原理和直接针对癌细胞的靶向药物截然不同,生物标记物也不同。简单测试基因突变对它的意义有限。
肿瘤的PD-L1染色是常见的免疫生物标记物之一。
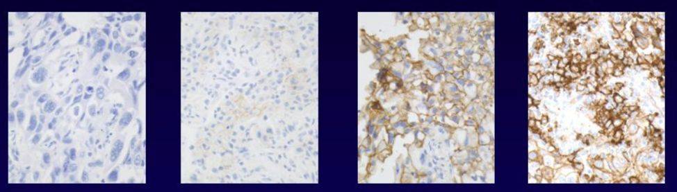
PD-L1染色,是指用特异的抗体来检测(肿瘤)组织中PD-L1蛋白的表达量。它最终在显微镜下呈现的效果是下面这样:

PD-L1蛋白表达是通过褐色展示,染色越深,覆盖的细胞越多,阳性越强。上图中,最左边是一个阴性组织(PD-L1染色阳性细胞<1%),最右边则是强阳性的组织(PD-L1染色阳性细胞>50%)。
目前主流理论认为,部分肿瘤细胞通过高表达PD-L1蛋白来结合免疫细胞上的PD-1蛋白,从而抑制免疫细胞的攻击。而PD-1抑制剂的作用,正是打破这种PD-L1和PD-1的结合,从而激活免疫细胞,尤其是T细胞,完成对肿瘤细胞的攻击。
顺着这种理论,有人猜想,如果肿瘤表达PD-L1越多,或许PD-1免疫药物效果越好。
在一些临床试验,比如针对黑色素瘤的试验里,确实看到一些苗头。整体而言,PD-L1表达高的患者,响应免疫疗法的概率更高。
但这是指一个群体,具体落实到个人,情况就很复杂了。PD-L1做临床生物标记物依然受到很大争议,主要就是因为它无法准确预测个体疗效。
几乎所有临床试验中,我们都看到了某些PD-L1阴性的患者响应免疫疗法,我们也看到某些PD-L1强阳性的患者,一点效果都没有。
虽然PD-L1阴性的患者整体有效率更低,但一旦起效,疗效就和PD-L1阳性患者差不多。还是在CheckMate 057中,非鳞癌的PD-L1染色阳性患者(肿瘤组织中PD-L1表达水平>1%)使用O药的中位持续缓解时间为16个月,而非鳞癌的PD-L1染色阴性的患者,中位持续缓解时间居然是18.3个月。
而对于PD-L1阴性的鳞癌患者疗效也比较明确,Checkmate 017研究随访2年结果,O药治疗与化疗相比死亡风险可降低42%。而对于PD-L1阳性的鳞癌患者,随访2年结果,O药治疗与化疗相比死亡风险显著降低25%。可见无论PD-L1表达状态如何,鳞癌患者都可以从治疗中获益。
所以,我们显然不能因为患者是PD-L1染色阴性,就告诉他/她:“你不能用免疫疗法,因为肯定无效。”
大家对如何对待PD-L1这个“免疫生物标记物”,还远远没有达成共识。
PD-L1之所以作为生物标记物不理想,有技术上的问题,尤其是染色本身问题多多。比如,抗体不同,结果可能不同,样品处理不同,结果也可能不同,等等。
除此之外,更重要还有PD-L1自身的生物学原因。最主要的有两点:
第一是分布不均。PD-L1在肿瘤内部并非均匀分布,同一个肿瘤组织,可能一些部分表达阳性,一些部分表达阴性。这就带来了随机问题,因为取样可能取到阳性表达的部分,也可能取到阴性表达的部分。一块所谓“PD-L1阴性”的肿瘤组织,很可能换个地方取样检测,就是阳性的了。
第二是表达不稳定。PD-L1蛋白表达受到很多分子信号影响,会上下动态变化。一块看似表达低的肿瘤组织,或许第二天表达就高了。
这些都会给判定PD-L1是阳性还是阴性带来巨大干扰。
那别的标记物呢?
除了PD-L1,大家还尝试了很多别的标记物,比如肿瘤突变负荷(TMB),免疫指数(Immune Score)等。
但到目前为止,还没有一个完美的单独标记物。
免疫系统和肿瘤之间的相互关系错综复杂,受到很多因素影响。最近甚至发现肠道菌群,甚至人的饮食习惯都能影响免疫疗法效果。
所以大家目前倾向于认为,真正要预测免疫疗法效果,可能需要多种标记物的组合,而不会像靶向治疗那样有一个单一标记物。
比如,下面这篇最近刚发表在《科学》上的论文,就探讨了对多个标记物联合使用的可能性。从预测效果来看,比单一标记物要好,但依然不够好。

说了这么多,目前中国临床治疗中,到底要不要做PD-L1检测呢?
具体情况具体分析,多数时候是不需要的。
第一,取决于瘤种。
有些肿瘤疗效和PD-L1表达量有一些关联,比如紫外线损伤相关的黑色素瘤,大家可以考虑做,但有些就没那么高,比如经典霍奇金淋巴瘤。它整体表达都比较高,就不用测了。
第二,取决于一线还是二线。
在肺癌中,一线单独使用免疫药物可以考虑检测,因为研究发现PD-L1强阳性(>50%)的患者获益最大。但二线治疗目前不推荐,一方面是有研究发现PD-L1阴性患者也能获益,另一方面是因为二线患者有效治疗选择本来就很少,化疗效果也一般,再使用PD-L1来做选择意义有限。
第三,取决于是单独用免疫药,还是联合用药。
在肺癌的一线临床试验中,如果PD-1抑制剂药物一线单独使用,PD-L1阴性患者几乎不获益,因此做检测很有价值,但免疫药联合化疗用于一线的时候,即使阴性患者也能受益,因此并不需要检测。
第四,取决于就诊医院。
虽然说PD-L1检测比较快,但涉及20步以上的人工操作,中国很多医院病理科还没有建立起稳定的PD-L1染色质控系统,因此目前检测意义不大。
第五,取决于经济情况。
任何检测,无论PD-L1,肿瘤突变负荷还是免疫指数,都是需要花钱的。而无论O药还是K药,在中国定价都是世界最低(一个月2万左右)。在经济条件允许,而且其它选择都不理想的时候,直接盲试免疫检查点抑制剂药物一段时间看情况,是一个非常现实的选择。
精准医疗时代,我们希望能把药用在最可能受益的患者身上,因此对能预测疗效的生物标记物研究很重要。
但目前,免疫治疗依然还没有一个统一,且大家认可,效果良好的生物标记物。是否要做PD-L1等各种检测,取决于很多因素,除了科学上的考量,还要参考患者疾病进展,整体身体状态,家庭经济情况,等等。
希望能有更好的标记物被发现,也希望更多的免疫治疗方法被验证,惠及更广大的患者群体。
致敬生命!
参考文献:
1. Peripheral and tumorimmune correlates in patients with advanced melanoma treated with nivolumab(anti-PD-1, BMS-936558, ONO-4538) monotherapy or in combination withipilimumab. J Transl Med 2014;12:O8.
2. PD-L1 Expression asa Predictive Biomarker in Cancer Immunotherapy. Mol Cancer Ther. 2015Apr;14(4):847-56.
3. Pan-tumor genomicbiomarkers for PD-1 checkpoint blockade–based immunotherapy. Science 362, 197(2018)
本文来自微信公众号:菠萝因子(ID:checkpoint_1),作者:80后菠萝博士