扫码打开虎嗅APP
本文来自微信公众号:菠萝因子(ID:checkpoint_1),作者:菠萝,题图来自:视觉中国
恶性神经胶质瘤是脑瘤的一种,也是最难治疗的癌症种类之一。常用的方法包括手术、放疗、化疗和靶向药,但如果复发,患者的平均生存时间不到12个月。
恶性脑瘤治疗效果不好,有两个重要的原因:第一是手术很难把肿瘤切干净,会担心切多了伤害到大脑核心功能,第二是绝大多数抗癌药很难到达肿瘤部位,因为大脑有一个保护层叫“血脑屏障”。
咋办呢?
科学家只能不走寻常路,想各种各样看起来很奇葩的办法。
溶瘤病毒,就是其中一种。
溶瘤病毒并不是特定的一种病毒,而是指一类倾向于感染肿瘤细胞,同时在癌细胞里面能够大量繁殖,最终让肿瘤细胞裂解、破碎、死亡的病毒。好的溶瘤病毒不仅能直接杀死一部分癌细胞,同时还可能激活免疫系统来清扫残余癌细胞,从而达到更好的效果。
好的溶瘤病毒,本质上是一种免疫疗法。
最近,一种叫PVSRIPO的溶瘤病毒,在复发的恶性脑胶质瘤中展现了明确疗效,有的患者看起来甚至被临床治愈了!
第一个参加这个临床试验的患者,2012年5月11日复发后接受溶瘤病毒治疗,现在还活着,超过7年,而且体内完全没有任何肿瘤迹象了!
对于这种复发后平均只能存活一年的顽疾,无疑是一个巨大的奇迹。
由于效果突出,它的一期临床试验结果就得以发表在了《新英格兰医学杂志上》。其实,4年前我就写过参与这个临床试验的患者故事,收录在我第一本书《癌症·真相:医生也在读》里。

在这个一期临床试验中,61位恶性脑胶质瘤复发的患者接受了溶瘤病毒治疗,前两年的效果如下图所示。

如果光看这两年的生存数据,你会觉得这个试验失败了,因为使用溶瘤病毒的患者,生存期和对照组没有什么区别。平均生存期确实只有12个月左右,绝大多数患者在两年内都去世了。
那大家为什么还在兴奋呢?
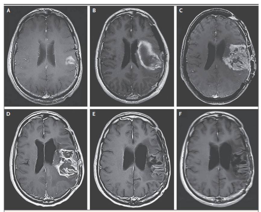
一方面,是因为确实有个别患者效果很好,比如下面这位。

大家可以明显看出,治疗前,患者肿瘤已复发,有一个非常明显的脑瘤(图A),使用溶瘤病毒后,肿瘤慢慢地缩小,而且随着时间推移,效果越来越好,肿瘤没有复发迹象。5年以后再次做大脑扫描,发现肿瘤已经完全消失了(图F)!
另一方面,奇迹不止在一位患者身上出现。随着观察时间延长,生存曲线上出现了拖尾效应。研究发现,两年内没有去世的患者,都能活过三年。而且有可能到五年,甚至更长!
从下图能看出,对照组的患者在四年之内基本全部去世了,但使用溶瘤病毒的患者中,有21%还一直活着!

他们被治愈了么?
现在下结论还为时尚早,但这种长期生存优势,以前在这类复发脑瘤患者中,是从来没有见过的,让大家十分兴奋!
这个试验还发现了一个有趣的现象,那就是即使溶瘤病毒单独治疗失败,依然可能帮助后续的化疗取得更好效果。
临床发现,一些患者在使用溶瘤病毒后,虽然刚开始有点效果,但一段时间后肿瘤又进展了。这时,医生只好开始换化疗。
按理说,这应该算试验失败。但让人意外的是,有的患者使用化疗后效果惊人,远超过以前的数据。有的人仅用了几次化疗,肿瘤就大幅缩小,甚至消失。
比如下面这位。

图A是治疗前的肿瘤,图C是溶瘤病毒治疗后,肿瘤进展。可以看出,这个时候肿瘤已经又长大了。医生只好换了一种叫洛莫司汀的化疗药物,试验宣告“失败”。
谁也没想到,仅一个疗程,肿瘤就开始出现好转(图D),到一年后,肿瘤已经完全消失了。即使停掉化疗一年后,肿瘤依然没有任何复发迹象(图F)。随访五年时,这个患者还活得好好的!
而且,这并不是唯一的案例。
很显然,由于一些原因,被溶瘤病毒感染后的恶性胶质瘤,即使复发也和以前不太一样了,对化疗的响应变得更好。
科学家目前还不知道原因到底是什么,但有一些数据显示,可能是因为短期化疗能打破肿瘤形成的免疫抑制,从而配合溶瘤病毒,再次启动抗癌免疫反应,杀死癌细胞,而且产生持久的疗效。
这个现象提示,“溶瘤病毒+短期化疗”或许效果会更好,是一个未来值得尝试的方向。
在新的2期临床试验中,研究者确实做了改进。在溶瘤病毒的基础上,加上了1次化疗这个选项。对于这期临床试验结果,我们拭目以待。
很遗憾,这个临床试验并没有在中国开展。从网上信息看,这个试验目前正在美国招募患者,有兴趣的患者可以自己看看试验介绍和报名办法:
https://clinicaltrials.gov/ct2/show/NCT02986178
如果有疑问,推荐大家直接用网站上的联系方式进行咨询。
当然,还是要说一句,虽然这项研究很让人振奋,大家要理性地看待溶瘤病毒。
首先,溶瘤病毒并不是万能神药,受益患者比例还不够高,同时还有严重副作用的可能。另外,不同的溶瘤病毒差异巨大,不能一概而论。市面上有很多不靠谱的人,已经开始打着溶瘤病毒的旗号开展各种骗局,大家一定要小心。
科学一直在发展和进步,即使对于恶性胶质瘤,也慢慢有了突破。
除了溶瘤病毒,最近在美国和香港上市的“电场治疗”,也是一个独辟蹊径的创新。

不仅如此,就连一直在恶性胶质瘤中效果不好的PD-1免疫药物,换一种用法,用于新辅助治疗的时候,也展现了希望。
我相信,早晚有一天,很多恶性脑瘤患者都能战胜疾病,长期存活。
最后,衷心希望中国未来能有更多类似这样的创新临床试验,给患者更多选择,最终推动更好的疗法尽快上市,惠及更多的人。
致敬生命!
参考文献:
1. Recurrent Glioblastoma Treated withRecombinant Poliovirus. N Engl J Med 2018; 379:150-161
2. Effect of Tumor-Treating Fields Plus MaintenanceTemozolomide vs Maintenance Temozolomide Alone on Survival in Patients WithGlioblastoma: A Randomized Clinical Trial. JAMA,2017. 318(23): p.2306-2316.
3. Neoadjuvant anti-PD-1 immunotherapypromotes a survival benefit with intratumoral and systemic immune responses inrecurrent glioblastoma. Nat Med. 2019 Mar;25(3):477-486.
4. Neoadjuvant nivolumab modifies the tumor immunemicroenvironment in resectable glioblastoma. Nat Med. 2019 Mar; 25(3):470-476.
本文来自微信公众号:菠萝因子(ID:checkpoint_1),作者:菠萝